王叔,64岁。吸烟史三十多年,半年前发现自己胸脯部出现大量红色淤斑,起初王叔以为是季节更替导致的皮肤病,过了一段时间发现自己频繁的咳嗽和咳痰,甚至出现了痰中带血的情况,我叔吓坏了,赶紧去医院进行检查。

通过全身性检查发现王叔有皮肤病变的症状,在颈后和腋窝处的皮肤角质层增厚,伴有一定的黑色素的分布,疑似癌症的皮肤病变表现黑棘皮病,同时还发现王叔胸脯部的红色瘀斑,王叔主诉自己有咳嗽,咳痰,痰中带血的症状,通过这一系列症状,我们怀疑王叔发生了肺癌。
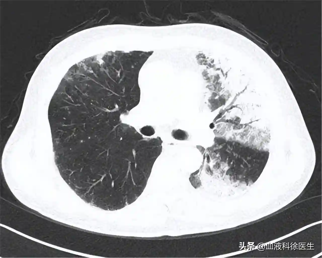
通过简单的胸部CT,右肺叶的主支气管上发现了硬币大小的病灶,为了进一步确定病灶是否是肿瘤,我们又给王叔做了胸部PEF-CT检查,通过深层的CT检查可以确定病灶形态为3cm×4cm×1.5cm恶性肿块,除了这一病灶外,支气管附近的肺叶上还分布着三个较小的肿块,表明肿块有肺内转移的情况。
通过支气管镜经呼吸道提取肿块组织,经过活检发现鳞状细胞癌,确诊为Ⅲb期非小细胞肺癌。

通过会诊确定王叔的治疗方案,由于王叔是Ⅲb期肺癌,目前不建议进行手术切除治疗,而且王叔正处于肺内转移的阶段,盲目进行手术切除容易刺激肺癌向其他器官转移,我们只能通过化疗放疗等治疗手法让王叔降期,降到Ⅲα期计划局部肺癌切除手术。
通过与王叔进行沟通,王叔同意治疗方案,于是我们为王叔进行系统的化疗和放疗,同时进行介入治疗和免疫治疗,经过两周的治疗,王叔出现了大量脱发的情况,人也变得十分消瘦,这种情况导致王叔出现了抵抗心理,王叔变得异常焦虑不安,开始不配合治疗,关于王叔的这种情况,我们临时决定为王叔开展心理治疗。

给王叔说明手术风险和术后治疗计划,让王叔考虑是否进行手术,王叔害怕手术会失败,不愿进行手术,了解这一情况后主刀医生对王叔进行心理安慰,最终王叔同意手术。手术非常成功,王叔的肺癌也得到了有效地控制。
后续开展王叔预后治疗方案,王叔需要定期进行预后性化疗,三个月复查一次肺癌指标。

王叔出院后,我们进行了病情报告分析,王叔肺癌最早的症状表现应该是胸脯部的红色淤斑和黑棘皮病,我们通过色素沉着情况可以分析黑棘皮很早就出现了,这两种皮肤症状应该比咳嗽咳痰症状出现早,充分说明体内发生癌症后,皮肤会先有症状反应,大多数人会忽略皮肤症状,所以我们应该加大这方面的普及。

另外治疗癌症非常重要的一方面是要预防癌症转移,早日让癌症降期,癌症处于转移阶段是不能进行手术的,我们应该怎么引导癌症患者及时发现癌症转移和预防癌症转移。
其次癌症患者的心理状态对治疗的影响非常大,王叔治疗中出现了抵抗和逃避的心理状态,非常影响治疗进度,警醒我们要多观注癌症患者的心理变化。下面以王叔为例,向大家普及发生癌症皮肤会出现的4个异常。
体内有癌皮肤可能会出现的4种异常表现
通过王叔的病例,我们了解到体内如果有癌症,皮肤会先给我们一些提醒。皮肤具有保护感觉,分泌,排泄,呼吸的功能,体内有癌症会影响我们的内分泌,皮肤状态受内分泌影响非常大,癌症导致的内分泌失调会使皮肤变得暗沉,另外发生癌症后,癌细胞会分泌黑色素细胞刺激素(MSH),导致皮肤黑色素增多,出现黑棘皮病。

发生癌症后,肿瘤会分泌异位促甲状腺皮质激素(ACTH),异位促甲状腺皮质激素会使血浆皮质醇增高,血浆皮脂醇增高后皮肤会呈现出多血质的状态,多血质的状态会在皮肤上呈现红色淤斑。
上面提到的王叔发生肺癌后早期出现的胸腹部红斑就是因为血浆皮质醇增厚,导致皮肤呈现多血质状态,癌症会影响血液物质变化,血液贯穿机体各个部位,皮肤上的毛细血管也会受到癌症的影响,毛细血管非常敏感,血浆皮质醇过多就会导致毛细血管被撑大,导致毛细血管破裂,皮肤出现红斑。
癌症会影响细胞色素沉着,皮肤上的细胞色素沉着后非常明显,这也是体内有癌症后皮肤会先表现出症状的重要原因,我们体内有癌会有以下4种异常皮肤状态。

1.皮肤变黄,巩膜黄染
发生癌症后,肿瘤会影响胆红素代谢异常,血清胆红素浓度升高会导致巩膜,黏膜,皮肤和其他组织染成黄色。
除了胆红素升高会导致皮肤黄染,肝细胞功能下降也会导致皮肤黄染,干细胞功能下降会导致没有结合的胆红素停留在血液当中,使血液当中的总胆红素升高,刺激皮肤变黄,肝癌会导致肝细胞受损,所以我们出现皮肤变黄,巩膜黄染时,可能是体内发生肝癌了。

2.皮肤无丘疹瘙痒
皮肤瘙痒常常作为全身性疾病的首发症状,当我们发生尿毒症胆汁性肝硬化,甲状腺功能亢进以及恶性肿瘤时会出现皮肤瘙痒的症状。恶性肿瘤导致的全身瘙痒一般是无丘疹的瘙痒。
发生肿瘤后,肿瘤会刺激组织胺和蛋白质内分解酶产生,组织胺和蛋白质内分解酶是活性物质,活性物质会进入血液,刺激皮肤末梢神经,导致出现无丘疹的全身性瘙痒。
其次,癌细胞也会刺激炎症因子产生,炎症因子会刺激皮肤发生免疫反应,出现全身性瘙痒现象。如果我们出现没有丘疹的的全身性瘙痒,需要特别注意是否是发生癌症了,内脏有癌细胞时常伴有全身瘙痒的症状。

3.皮肤出现黑色素沉淀
癌细胞会刺激黑色素因子产生,黑色素因子随血液流动沉着在皮肤表层,黑色素常沉淀在较薄的皮层处,如腋窝和脖子。
王叔腋窝和颈部就出现了黑色素沉淀,腋窝出现黑色素沉淀不易被发现,所以我们更加留心,如果我们发现皮肤有黑色素沉淀要及时去医院筛查癌症。

4.皮肤出现瘀斑或肿块

上面提到的王叔发生肺癌时最早症状就是皮肤上的红色瘀斑,红色瘀斑是癌症细胞刺激血液脂质增多导致的,有些患者发生癌症后皮肤会出现肿块,癌细胞会刺激淋巴结肿大,淋巴与皮肤相连,淋巴结肿大后会影响皮肤出现肿块。
如果我们发现皮肤出现不明原因的瘀斑或肿块,需要及时警惕是否是癌症发生了。面对癌症,我们要做到早发现,早治疗,王叔就因为没有早些发现癌症导致癌症发生转移,耽误最佳的手术切除时间,所以我们要尽早发现癌症,除了尽早发现癌症,我们还要早些预防癌症转移。
怎样预防癌细胞转移?
①积极配合治疗。
癌症患者为了防止癌细胞扩散,需要尽早接受化疗和放疗,化疗和放疗能够很好的控制癌细胞数量,避免癌细胞生长过快向其他组织或器官转移。

②远离致癌物质。
预防癌细胞转移需要减少对癌细胞的刺激,致癌物容易导致癌细胞病变,促使癌细胞生长过快,日常生活中应该减少接触致癌物质,健康人群预防癌症发生也要避免致癌物质,生活中常见的致癌物质有甲醛,电离辐射等,我们要减少接触这些物质,必须接触时要做好保护措施。

③健康的生活习惯。
健康的生活习惯能够提高人体免疫力,免疫力提高有利于自身细胞消灭癌细胞,健康的生活习惯要求我们要保证健康饮食和规律运动,健康的饮食要保持低盐低脂的清淡饮食,规律运动要求我们运动前要充分,热身运动后要及时拉伸,选择适合自己的运动,坚持循序渐进的原则。

癌症患者最常出现的心理状态有恐惧,害怕,焦虑等,出现这些心理状态会使患者逃避治疗,恐惧治疗,耽误治疗进程,上面提到了王叔就出现了不良的心理状态,不良的心理状态还会影响治疗效果,癌症患者只有保持健康乐观的心理状态才能更好地应对疾病。

癌症患者的家属要多安慰患者,帮助患者建立自信心,患者家属也要保持乐观的心理状态,给患者周围营造积极乐观的环境,癌症患者常常会因为昂贵的治疗费用出现愧疚的心理状态,这种心理状态可能会导致患者拒绝治疗,因此患者家属要尽量减少患者的愧疚感和负担感,患者积极配合和乐观的心理状态有利于提高治疗效果。

通过王叔的例子,我们了解到皮肤对机体状态的敏感性,机体发生癌症后皮肤出现异常状态,提示我们癌症发生了,王叔发生肺癌后最早出现的症状就是皮肤上的红斑和黑色素沉淀,提醒我们皮肤出现变黄,瘙痒,黑色素沉淀,肿块或瘀斑时可能是癌症发生了,出现以上4个皮肤异常情况要及时去医院检查。